宗馥莉,危险
来源:市场投研资讯 (来源:盐财经) 作者 | 何子维 编辑|宝珠 视觉 | 顾芗 在很多人眼里,娃哈哈姓“宗”,是一个不折不扣的家族企业。 对于今时今日的宗...
来源:市场投研资讯 (来源:盐财经) 作者 | 何子维 编辑|宝珠 视觉 | 顾芗 在很多人眼里,娃哈哈姓“宗”,是一个不折不扣的家族企业。 对于今时今日的宗...
来源:市场资讯 (来源:华山穹剑) 每年国庆前夕,央视都会推出一部主旋律剧集,向国庆献礼。 每年选择的剧集,无论是谍战还是战争题材,这些剧集都有扎实的历史考据,...
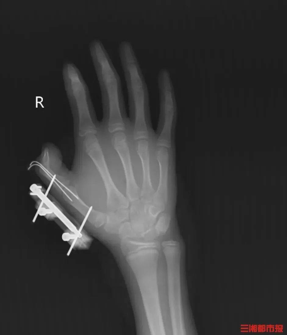
冰镇冷饮冰淇淋 为冷链食物保鲜 干冰在日常生活中十分常见 但很多人不知道 干冰若储存、使用不当 便会“暗藏杀机” 把干冰当玩具摇 14岁少年手指被炸得深可见骨...
最近,中美两国同时对乌克兰发布了安全预警,这本身就足以让外界为之侧目。在这样的背景下,俄罗斯那台神秘的“末日电台”UVB-76又开始传出了异响,预示着潜在的更大...
新年已至,衢州龙游小伙小张打开了外卖平台上的年终盘点,这一年,他竟然点了258杯奶茶。 “一定要减少甚至戒掉,不然迟早会出问题的。”龙游县人民医院内分泌科主任雷...
好好好 大家都爱看这种主题是吧...